مسلسلات |
فيديو |
اخبار |
فن |
ترفيه |
مرأة |
ابراج |
انت في زاوية "اخبار عربية وعالمية"
الأمير هاري وميغان لن يحضرا الاحتفال بميلاد الملك الـ75.. هل رفضا الدعوة؟
مع اقتراب الاحتفالات بعيد ميلاد الملك
للتفاصيل
بالصور: مشاهد مذهلة للشفق القطبي التي شهدها سكان روسيا
أفاد الرصد الفلكي "أسترو أليرت" (AstroAlert)،
للتفاصيل
الاتحاد الأوروبي يفتح تحقيقاً بحق علي إكسبرس لبيعه منتجات وأدوية زائفة
أعلنت المفوضية الأوروبية اليوم الإثنين
للتفاصيل
مفاجأة لا تخطر على بال.. خبراء يحذرون من "التوقيت الشتوي"!
يعتمد عدد من بلدان العام تغيير التوقيت
للتفاصيل
أغرب ما قد تسمعه على الإطلاق.. رجل هندي حامل لمدة 36 عاما!
أقل ما توصف به أنها أغرب قصة قد تسمعها
للتفاصيل
حال فشل صفقة مبابي.. ريال مدريد يحدد البديل
بدأ نادي ريال مدريد، تجهيز تحركاته
للتفاصيل
مراهق يبتلع 12 مغناطيسا ويُجبر على إجراء جراحة إسعافية.. صور
تم الإبلاغ أخيرًا في الولايات المتحدة
للتفاصيل
الملياردير زوكربيرغ يتعرض لتمزق بالرباط الصليبي ويُنقل بشكل عاجل للمستشفى
تعرض الملياردير الأمريكي رئيس شركة
للتفاصيل
زلزال قوي يهز نيبال ويوقع 132 قتيلاً.. هل أصابت توقعات العالم الهولندي؟
لقي ما لا يقل عن 132 شخصا حتفهم في زلزال
للتفاصيل
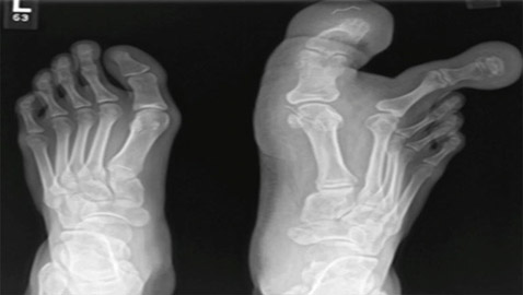
فتاة تعاني من حالة نادرة بالقدم تجعلها تكافح لارتداء حذاء.. وأطباء يكشفون أسبابها
عولجت فتاة تبلغ من العمر 12 عامًا،
للتفاصيل
السابق
التالي
للتواصل معنا
الصفحة الرئيسية
اخر الاخبار العالمية والعربية
اخبار فنية وبرامج تلفزيون
اخبار ترفيهية من حول العالم
عالم المرأة والصحة
الابراج - حظك اليوم
مسلسلات رمضان 2026
فيديو - مسلسلات، افلام، برامج والمزيد
اغاني mp3 music
عالم الفلك
اقوال وطرائف
الموقع العربي الاول
مسلسلات رمضان 2026
مسلسل وننسى اللي كان
مسلسل عمارة السعادة
مسلسل رحمة 2
مسلسل بخمس ارواح
مسلسل درش
مسلسل علي كلاي
مسلسل افراج
مسلسل أنا وهي وهيا
مسلسل الهيبة رأس الجبل
مسلسل اسأل روحك
مسلسل النويلاتي
مسلسل حمدية
مسلسل سموم القيظ
مسلسل عايلة مايله
مسلسل انا ولا انا
مسلسل على قد الحب
مسلسل اللون الأزرق
مسلسل النص التاني
مسلسل اب ولكن
مسلسل رأس الأفعى
مسلسل فرصة أخيرة
مسلسل حكاية نرجس
مسلسل بنت النعمان
مسلسل فن الحرب
مسلسل أولاد الراعي
مسلسل عرض وطلب
مسلسل اخر كلام
مسلسل سعادة المجنون
مسلسل رامز ليفل الوحش
مسلسل حصة أخيرة
مسلسل عيلة الملك
مسلسل قطر زغنطوط
مسلسل شرارة
مسلسل السوق الحرة
مسلسل يوميات رجل متزوج 2
مسلسل كوميدي تانا
مسلسل بالحرام
مسلسل بيبو
مسلسل فخر الدلتا
مسلسل حامض حلو 7
مسلسل روج اسود
مسلسل قبل وبعد
مسلسل البخت
مسلسل ما اختلفنا 3
مسلسل درب الذهب
مسلسل شمس الأصيل
مسلسل اليتيم
مسلسل وجب القضاء
مسلسل ثعالب الصحراء
مسلسل دراما كوين
مسلسل ن النسوة
مسلسل مولانا
مسلسل الكينج
مسلسل الغميضة
مسلسل شارع الأعشى 2
مسلسل لوبي الغرام
مسلسل أمور عائلية
مسلسل صبر أم أيوب
مسلسل المتر سمير
مسلسل الخروج الى البئر
مسلسل مطبخ المدينة
مسلسل وديمة وحليمة 5
مسلسل بنات عبد الغني
مسلسل اخر الشهر
مسلسل ترند
مسلسل شاي خانه
مسلسل قلبي اطمأن 9
مسلسل سكنهم مساكنهم
مسلسل غلط بنات
مسلسل حي الجرادية
مسلسل كسرة
مسلسل بابا وماما جيران
مسلسل المداح أسطورة النهاية
مسلسل لحظات مسروقة
مسلسل الباء تحته نقطة 2
مسلسل ملوك اليمن
مسلسل كحيلان
مسلسل أعوام الظلام
مسلسل بيت السعد
مسلسل ام رجا
مسلسل نورية نصيب
مسلسل الست موناليزا
مسلسل عين سحرية
مسلسل اثبات نسب
مسلسل ابطال الرمال
مسلسل توابع
مسلسل حد أقصى
مسلسل مناعة
مسلسل غناوي شوق
مسلسل 11%
مسلسل اتنين غيرنا
مسلسل صحاب الأرض
مسلسل كان ياما كان
مسلسل المقعد الأخير
مسلسل بيت الاحلام
مسلسل كلهم بيحبوا مودي
مسلسل المصيدة
مسلسل هي كيميا
مسلسل دارا
مسلسل 33
مسلسل سوا سوا
مسلسل الضربة
مسلسل بنات العم 2
مسلسل بدل تالف
مسلسل تطبق الشروط والأحكام
مسلسل قيصرية
مسلسل دكان سليمان
مسلسل الشوفير
مسلسل وحوش 2