



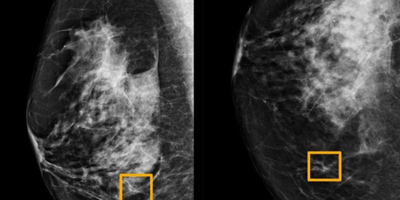
ذكر باحثون في الولايات المتحدة وبريطانيا أن نظاماً للذكاء الاصطناعي بغوغل أثبت دقة مماثلة لدقة خبراء الأشعة في اكتشاف النساء اللاتي أصبن بـ سرطان الثدي، استناداً إلى تصوير الثدي بالأشعة السينية وأظهر كفاءة في تقليص الأخطاء. وهذه الدراسة، التي نشرت في دورية نيتشر، هي أحدث بحث يظهر أن الذكاء الاصطناعي لديه إمكانية تحسين دقة الفحص لسرطان الثدي، الذي يصيب امرأة من كل 8 نساء في العالم.

وتقول الجمعية الأميركية للسرطان إن نسبة الخطأ لدى أطباء الأشعة في تشخيص سرطان الثدي من خلال التصوير بـ الأشعة السينية تبلغ 20 بالمئة، وإن نصف النساء اللائي خضعن للفحص خلال فترة 10 سنوات جرى خطأ تشخيص إصابتهن بالمرض.
وقال موزيار اعتمادي أحد المشاركين في إعداد الدراسة من كلية الطب بجامعة نورث ويسترن إن نتائج الدراسة، التي وضعت بالتعاون مع وحدة (ديب مايند) للذكاء الاصطناعي بـ غوغل التابعة لألفابت، التي اندمجت مع غوغل هيلث في سبتمبر، تمثل تقدماً كبيراً في إمكانية الاكتشاف المبكر لسرطان الثدي.

وقام الفريق، الذي شمل باحثين من إمبريال كوليدج لندن، والخدمة الصحية الوطنية في بريطانيا، بتدريب النظام لتحديد سرطان الثدي على عشرات الآلاف من فحوص الثدي بالأشعة السينية. ثم قارنوا توقعات النظام بالنتائج الفعلية لمجموعة تشمل 25856 تصويراً بالأشعة السينية للثدي في بريطانيا و3097 في الولايات المتحدة.
وأظهرت الدراسة أن نظام الذكاء الاصطناعي تمكن من تحديد الإصابة بالسرطان بدرجة مماثلة لدقة خبراء الأشعة، في حين خفض عدد النتائج الإيجابية الخاطئة بواقع 5.7 بالمئة في المجموعة الموجودة في الولايات المتحدة وبنسبة 2.1 بالمئة في تلك الكائنة في بريطانيا.

وخفض كذلك النتائج السلبية الخاطئة، التي صنفت الاختبارات خطأ على أنها طبيعية، 9.4 بالمئة في المجموعة الأميركية و2.7 بالمئة في المجموعة البريطانية. وتعكس هذه الاختلافات طرق قراءة نتائج تصوير الثدي بالأشعة السينية، ففي الولايات المتحدة، يقرأ خبير أشعة واحد فقط النتائج وتجرى الاختبارات كل عام أو عامين. أما في بريطانيا، فتجرى الاختبارات كل 3 سنوات ويطلع على كل منها خبيران للأشعة. وعندما يختلفان يُستشار خبير ثالث.


