Farfesh.com
spacer
spacer
spacer
the voice 6
spacer
مسلسلات رمضان 2026
spacer
spacer
spacer

10 أمراض فتاكة انتقلت من الحيوان إلى الإنسان!

موقع فرفش
13:00  28/04/2021
Share  

هل تعلم أنّ أكثر من نصف الأمراض المعدية التي أصابت البشر جاءت من الحيوانات؟ يُقدّر العلماء أنّ الحيوانات تنشر 6 من أصل كل 10 أمراض معدية معروفة! والعديد منها أمراض فتاكة، وقد تتفشّى على نطاق واسع، كما هو الحال مع جائحة كورونا. وحين تنتقل الجراثيم الضارة من الحيوان إلى الإنسان تُعرف حينها باسم الأمراض حيوانية المنشأ، وربما تكون الحيوانات لطيفة، وودودة، أو حتى لذيذة؛ ولكن عليك أن تحذر منها إن كانت مصابة!

10 أمراض فتاكة انتقلت من الحيوان إلى الإنسان! صورة رقم 1

نستعرض في هذا التقرير 10 أمراض حيوانية المنشأة لا تزال موجودة إلى الآن، وكيفية تجنّب الإصابة بها.

10 أمراض فتاكة انتقلت من الحيوان إلى الإنسان! صورة رقم 2

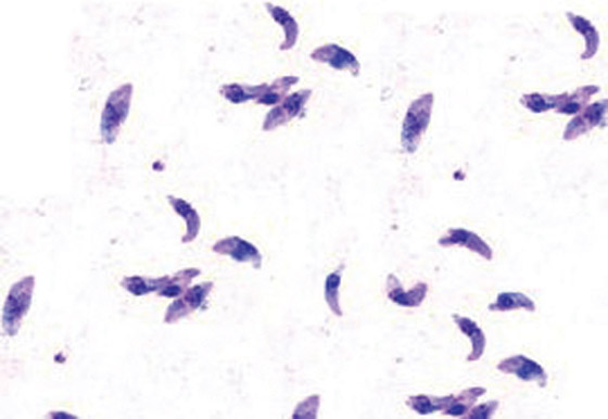
10. داء المقوسات
داء المقوسات هو عدوى طفيلية يُسبّبها كائن حي دقيق يُدعى المُقوّسة القُنْدِيّة أو الغوندية. يعيش هذا الطفيل أحادي الخلية في كل مكان، في الهواء وعلى الأرض وفي البحر، وحتى داخل غالبية الحيوانات من ذوات الدم الحار. ومع ذلك، فإنّ مضيفه الأساسي هو القطط المنزلية، إذ تتكاثر هذه الكائنات الدقيقة داخل أحشاء القطط. ويُعرف المرض أحياناً باسم مرض "التحكم في العقل"، لأنّ القوارض المصابة به تميل إلى التصرف بسلوكيات غير طبيعية، وتصير فريسةً سهلة للقطط، كما يُمكن أن يزيد المرض من السلوكيات المحفوفة بالمخاطر لدى البشر.

ويُمكن أن يُصاب البشر بداء المقوسات عن طريق ملامسة براز القطط المصابة، أو تناول خضراوات نيئة ملوثة، أو لحم غير مطهي جيداً، وتدخل المقوسة القندية إلى أجسادنا في شكل بيضة عادةً، ثم تختبئ داخل الدماغ أو القلب أو أنسجة العضلات المحيطة بالهيكل العظمي. وحين يكبر هذا الطفيل يتحوّل إلى طفيلٍ نشط يُعرف باسم المتسارعة. ويُصيب داء المقوسات نحو ملياري شخص حول العالم سنوياً، ولا يُصاب غالبية الناس بأعراضٍ ظاهرة، ولا يحتاجون لعلاج داء المقوسات، لكن نسبةً تصل إلى 20% تُعاني من أعراض ملحوظة، مثل: تورم الغدد الليمفاوية، أو الآلام الشبيهة بالإنفلونزا، وقد تُؤدّي العدوى الشديدة في بعض الحالات النادرة إلى:

فقدان الإبصار
تلف الدماغ
الشلل
الفصام
التهاب أنسجة القلب
وفي حال استمرار تلف الدماغ بدون علاج، وخاصةً لدى الأشخاص ذوي أجهزة المناعة الضعيفة، فقد يُؤدي داء المقوسات إلى الوفاة.

10 أمراض فتاكة انتقلت من الحيوان إلى الإنسان! صورة رقم 3

9. داء السلمونيلات
داء السلمونيلات هو عدوى بكتيرية تُسببها بكتيريا السلمونيلا. ويمكن العثور على بكتيريا السلمونيلا داخل الحيوانات الأليفة والبرية، مثل: الخنازير، والماشية، والقطط، والكلاب، والدواجن، والطيور، والزواحف، والبرمائيات. ولا تظهر أي أعراض على الحيوانات المصابة بالمرض، لذا تأكّد من غسل يديك جيداً بعد ملامسة الحيوانات. ويمكن لبكتيريا السلمونيلا على يديك أن تُصيبك بالعدوى أو تنقلها للأشخاص الآخرين والأسطح التي تلامسها. كما أنّ السلمونيلا هي بكتيريا مرنة جداً ويمكنها التواجد في جميع أنحاء السلسلة الغذائية.

ويُصاب البشر عادةً بهذه البكتيريا نتيجة تناول أطعمة مُلوّثة مثل البيض، واللحوم، والحليب. لذا عليك أن تطهو طعامك جيداً. ورغم أنّ السلمونيلا ليست فتاكة مثل بقية الأمراض على القائمة، لكنّها السبب الرئيسي للإصابة بأمراض الإسهال حول العالم، كما يمكن أن تكون لها أعراض خطيرة لدى الأشخاص ذوي أجهزة المناعة الضعيفة، مثل الأطفال وكبار السن.

وبالنسبة لأولئك الأشخاص، فإنّ الجفاف المرتبط بالمرض قد يُهدد حياتهم. وتشمل الأعراض الأخرى:

آلام البطن
القيء
الإسهال

10 أمراض فتاكة انتقلت من الحيوان إلى الإنسان! صورة رقم 4


8. أنثراكس (الجمرة الخبيثة)
يمكن العثور على هذه البكتيريا عادةً لدى الثدييات العاشبة، مثل: الخنازير، والماشية، والأغنام، والإبل، والظباء، والماعز. وأبواغ هذه البكتيريا قادر على الصمود لفترات مطولة والانتشار بسهولة في الهواء. و"تنشط" البكتيريا داخل أجسام البشر. وتشمل أعراض الجمرة الخبيثة الحمى، والبثور، وتضخّم الغدد الليمفاوية، وتراكم السوائل في الرئتين.

وتعتمد معدلات الوفاة بسبب الجمرة الخبيثة على طريقة الإصابة بها؛ إذ يُمكن أن تُصاب بها عن طريق:

استنشاق الأبواغ
تناول لحوم غير مطبوخة جيداً من حيوانات مصابة
ملامسة منتجات الصوف والجلود من الحيوانات المصابة

وأكثر طرق الإصابة بالجمرة الخبيثة فتكاً هي الرئوية، إذ تصل معدلات وفياتها إلى 80% أو أكثر، حتى بعد العلاج. أما معدل وفيات الإصابة بالجمرة الخبيثة نتيجة تناول اللحوم غير المطبوخة فيتراوح بين 25% و75%. بينما لا تتجاوز معدلات وفيات العدوى الجلدية الـ20%.

10 أمراض فتاكة انتقلت من الحيوان إلى الإنسان! صورة رقم 5

7. داء الكلب
داء الكلب هو مرض فيروسي فظيع يُصيب جميع الثدييات من ذوات الدم الحار، بما في ذلك البشر. يُصاب الحيوان بفيروس داء الكلب في لعابه وأنسجة الدماغ، وينتقل الفيروس إلى البشر عادةً عن طريق العضات، كما ينتشر الفيروس أيضاً عن طريق التلامس مع الجروح المفتوحة. وعضات الكلاب والخفافيش هي من أكثر الأسباب شيوعاً لإصابة البشر بداء الكلب، علاوةً على بعض الحالات النادرة من عضات الظربان والثعالب والراكون، بحسب موقع وزارة الصحة الأمريكية. وبينما توجد مجموعة من الحقن واللقاحات التي يمكنها علاج داء الكلب، لكنّ الإصابة به قد تودي إلى الوفاة في حال عدم علاجها في أسرع وقت.

ووفقاً لمراكز السيطرة على الأمراض والوقاية منها، فهناك 59 ألف حالة وفاة بسبب داء الكلب حول العالم. وتشمل الأعراض المبكرة الحمى والصداع، ويتطوّر هذا المرض سريعاً ليتحوّل إلى مرضٍ عصبي يُسبّب الشلل، والارتباك، وصعوبة البلع، والانفعال الشديد قبل الوفاة. ويمكن لداء الكلب أيضاً أن يُسبّب أعراضاً أخرى غير متوقعة مثل فوبيا الماء أو الخوف من المياه. يُمكنك وقاية نفسك من الإصابة بداء الكلب عن طريق حصول الكلاب على التطعيم المناسب من الطبيب البيطري!

10 أمراض فتاكة انتقلت من الحيوان إلى الإنسان! صورة رقم 6

6. الإنفلونزا حيوانية المنشأ
تُعَدُّ إنفلونزا الطيور أكثر أنواع الإنفلونزا حيوانية المنشأ انتشاراً، وخاصةً تلك التي تُسبّبها فيروسات H5 وH7N9. ويُمكن أن تُصاب بفيروسات إنفلونزا الطيور من الدواجن، مثل الدجاج والديوك الرومية والبط. وينتقل هذا الفيروس إلى البشر بطريقةٍ مباشرة أو غير مباشرة عند التعرض للدواجن المصابة الحية أو الميتة، أو داخل البيئات الملوثة مثل أسواق الطيور. كما أنّ تناول أطباق الدجاج النيئة المصابة يُمكن أن يصيبك بالعدوى أيضاً. وإنفلونزا الخنازير هي نوعٌ آخر من الفيروسات التي تُصيب البشر، ويُمكن أن تُصاب بهذه العدوى عن طريق الاقتراب من الخنازير المصابة أو حظائرها.

ورغم أنّ نوع الفيروس هو الذي يُحدّد فترة الحضانة وشدة الأعراض، فإن غالبية حالات الإنفلونزا تبدأ بأعراض تنفسية مثل: التهاب الحلق والحمى والسعال. وبالنسبة لفيروسات إنفلونزا الخنازير، تكون الأعراض خفيفةً في المعتاد ونادراً ما يُبلغ عنها المصابون. بينما تأتي الأعراض الأكثر خطورة مع فيروسات إنفلونزا الطيور، التي تتمتّع كذلك بأعلى معدلات الوفاة بين الفيروسات المماثلة. وعلى سبيل المثال، يصل معدل وفيات فيروس H5N1 إلى نحو 60% بين البشر. وقد يُسبب أعراضاً منها: الإسهال، والقيء، والنزيف الداخلي، وآلام الصدر، وتعقيدات أخرى.

10 أمراض فتاكة انتقلت من الحيوان إلى الإنسان! صورة رقم 7

5. الأربوفيروس
يُشير الأربوفيروس إلى الفيروسات المنقولة بالمفصليات، مثل: حمى الضنك، وفيروس زيكا، وفيروس غرب النيل. وتُعتبر لدغات البعوض هي الناقل الأكثر شيوعاً للأربوفيروس. وتحمل مفصليات الأرجل المختلفة أنواعاً مختلفة من الأربوفيروس. وعلى سبيل المثال، تنشأ حمى الضنك عن لدغة بعوضة الزاعجة المصرية (بعوضة الحمى الصفراء) المُصابة. بينما ينتشر فيروس غرب النيل من البعوض المصاب بالفيروس بعد أن تغذى على الطيور أو الخيول المصابة.

ويتسبّب كل نوع من الأربوفيروس في أعراض ومعدلات وفاة مختلفة. إذ نقلت مراكز السيطرة على الأمراض والوقاية منها أنّ نحو 400 مليون شخص يُصابون بحمى الضنك سنوياً، ويموت 22 ألف شخص منهم جراء الإصابة، وتُصاب الحالات الشديدة من حمى الضنك بأعراضٍ مثل:

أن يتقيّأ الشخص دماً
القيء المتواصل
دماء في حركة الأمعاء
نزيف من اللثة أو الأنف
الشعور بالتعب والإنهاك
وبالنسبة لفيروس غرب النيل، فإنّ غالبية المصابين لا يمرضون أو يُصابون بأعراض خفيفة فقط، لكن ردود الأفعال الشديدة قد تُؤثّر على الجهاز العصبي وتُصيب بالشلل، أو التهاب السحايا، أو التهاب الدماغ، أو حتى الوفاة.

10 أمراض فتاكة انتقلت من الحيوان إلى الإنسان! صورة رقم 8

4. الملاريا
الملاريا ليست من الفيروسات، رغم أنّها تنتقل عن طريق البعوض أيضاً، بل هي في الواقع مرضٌ يُسببه طفيل المتصورة (البلازموديوم). ويُمكن أن تستضيف بعوضة الأنوفيلة هذا الطفيل الذي يُسبب الملاريا. يستخدم البعوض اللعاب لمنع تجلط الدم أثناء لدغ البشر، وينتقل الطُّفيل إلى مجرى الدم من خلال هذا اللعاب، وبمجرد أن يدخُل أجسادنا يتضاعف الطُّفيل داخل الكبد ثم يُصيب خلايا الدم الحمراء ويُدمرها.

ووفقاً لمنظمة الصحة العالمية، أُصيب نحو 229 مليون شخص حول العالم بالملاريا عام 2019. وفي العام نفسه تُوفّي منهم نحو 409 آلاف شخص، مثَّل الأطفال تحت سن الخمس سنوات 67% منهم، حسب موقع Live Science. ويُمكن أن تكون الأعراض خفيفة أو شديدة بحسب سلالة الطفيل. وتكون الأعراض الخفيفة شبيهةً بالإنفلونزا، وتشمل: الحمى، والصداع، وآلام العضلات، والقيء، والإسهال، والتعب. بينما تشمل أعراض الحالات الشديدة:

ضعف الوعي
التشنجات
ضيق التنفس
النزيف غير الطبيعي

10 أمراض فتاكة انتقلت من الحيوان إلى الإنسان! صورة رقم 9

3. مرض فيروس الإيبولا
كان مرض فيروس الإيبولا يُعرف في السابق باسم حمى الإيبولا النزفية. ويُمكن للحيوانات البرية أن تنقل مرض فيروس الإيبولا إلى البشر. ويُمكن أن تُصاب بالعدوى في حال ملامسة سوائل جسم حيوان مصاب، خاصةً الحيوانات المريضة أو الميتة. ومن أمثلة الحيوانات التي يُمكن أن تنقل العدوى للبشر:

النيص
الظباء
خفافيش الفاكهة
القرود
الشمبانزي
الغوريلات

وبمجرد أن يُصيب الفيروس البشر يصير أكثر عدوى على نطاقٍ واسع. وتتباين معدلات وفيات البشر بين 25% و90% حسب حالة التفشي، ومن الشائع إصابة العاملين في الرعاية الصحية بعد انتهائهم من علاج المرضى المصابين. والاتصال المباشر مع الأشياء التالية يمكن أن يُصيبك بالعدوى:

دماء أو سوائل جسم الشخص المريض أو المتوفّى بسبب مرض فيروس الإيبولا
الأشياء المُلوّثة بسوائل الجسم المصاب بمرض فيروس الإيبولا
ويُمكن أن تكون الأعراض مفاجئة، وتشمل: الصداع، والإرهاق، والحمى، وآلام العضلات، والتهاب الحلق. وربما تتطوّر لاحقاً إلى الطفح الجلدي، أو القيء، أو الإسهال، أو أعراض أكثر حدة.

10 أمراض فتاكة انتقلت من الحيوان إلى الإنسان! صورة رقم 10

2. فيروس العوز المناعي البشري والإيدز
مثّل فيروس العوز المناعي البشري مشكلةً للصحة العالمية منذ اكتشفه العلماء في ثمانينيات القرن الماضي. وبنهاية عام 2019 قدّرت منظمة الصحة العالمية أنّ هناك 38 مليون شخص يعيشون بهذا الفيروس حول العالم. ويستهدف الفيروس جهاز المناعة، ليُضعِف دفاعات الجسم في مواجهة حالات العدوى. وتُمثّل متلازمة نقص المناعة المكتسبة المرحلة الأخيرة من عدوى فيروس العوز المناعي البشري، حيث تتطور إلى الإصابة بأنواع معينة من السرطان. وفيروس العوز المناعي البشري يُشبه فيروس نقص المناعة القردي، الذي يُهاجم الأعراض المناعية للقرود، إذ وجد العلماء أن سلالات العوز المناعي البشري ترتبط ارتباطاً وثيقاً بسلالة موجودة لدى الشمبانزي وسلالة أخرى موجودة لدى قرد منجبي أسخم. وفي الوقت الحالي، يُساعد العلاج المضاد للفيروسات القهقرية على مدار الحياة في الحيلولة دون انتقال الفيروس، بالتزامن مع السعي المتواصل للعثور على علاج.

10 أمراض فتاكة انتقلت من الحيوان إلى الإنسان! صورة رقم 11

1. فيروس كورونا المستجد (كوفيد-19)
تسبب فيروس كورونا المستجد، المدعو سارس-كوف-2 في مرض كوفيد-19، الذي تحوّل إلى جائحة في عام 2020. وبينما يُشير التحليل الجيني للفيروس إلى أنّ أصله يرجع إلى الخفافيش، لكن المسؤولين في الصين يشتبهون في أنّ التفشّي الأولي بووهان كان مرتبطاً بسوق المأكولات البحرية. وتكهّنت نظريتان بأنّ آكل النمل الحرشفي (أم قرفة)، أو الثعابين التي تُباع في السوق، يمكن أن تكون الحيوان الوسيط الذي نقل الفيروس من الخفافيش إلى البشر. وتختلف الأعراض بحسب السلالة والشخص المصاب، لكنّها تتباين من الأعراض الخفيفة مثل التهاب الحلق والصداع والإسهال والطفح الجلدي، إلى الأعراض الأكثر شدة مثل:

فقدان حاسة الشم والتذوق
ألم الصدر المستمر
اضطرابات النوم
المضاعفات العصبية

ونظراً لأنّ الأبحاث في أصول المرض تستغرق وقتاً طويلاً، فنحن لا نعلم على وجه التحديد كيف بدأ الفيروس في إصابة البشر، وبتنا نعلم أنّ له آثاراً مميتة ومُعدية للغاية، وحتى مطلع أبريل/نيسان عام 2021، كان هناك نحو 132.4 مليون حالة إصابة على مستوى العالم، و2.87 مليون حالة وفاة نتيجة فيروس كورونا.

10 أمراض فتاكة انتقلت من الحيوان إلى الإنسان! صورة رقم 12

الموقع العربي الاول
مسلسلات رمضان 2026
مسلسل ليل
مسلسل The Voice
مسلسل الست موناليزا
مسلسل بخمس ارواح
مسلسل وننسى اللي كان
مسلسل ذا فويس كيدز
مسلسل في الظل
مسلسل مولانا
مسلسل شمس الأصيل
مسلسل الهيبة رأس الجبل
مسلسل عمارة السعادة
مسلسل رامز ليفل الوحش
مسلسل رحمة 2
مسلسل درش
مسلسل علي كلاي
مسلسل افراج
مسلسل أنا وهي وهيا
مسلسل اسأل روحك
مسلسل النويلاتي
مسلسل حمدية
مسلسل سموم القيظ
مسلسل عايلة مايله
مسلسل انا ولا انا
مسلسل على قد الحب
مسلسل اللون الأزرق
مسلسل النص التاني
مسلسل اب ولكن
مسلسل رأس الأفعى
مسلسل فرصة أخيرة
مسلسل حكاية نرجس
مسلسل بنت النعمان
مسلسل فن الحرب
مسلسل  أولاد الراعي
مسلسل عرض وطلب
مسلسل اخر كلام
مسلسل سعادة المجنون
مسلسل حصة أخيرة
مسلسل عيلة الملك
مسلسل قطر زغنطوط
مسلسل شرارة
مسلسل السوق الحرة
مسلسل يوميات رجل متزوج 2
مسلسل كوميدي تانا
مسلسل بالحرام
مسلسل بيبو
مسلسل فخر الدلتا
مسلسل حامض حلو 7
مسلسل روج اسود
مسلسل قبل وبعد
مسلسل البخت 
مسلسل ما اختلفنا 3
مسلسل درب الذهب
مسلسل اليتيم
مسلسل وجب القضاء
مسلسل ثعالب الصحراء
مسلسل دراما كوين
مسلسل ن النسوة
مسلسل الكينج
مسلسل الغميضة
مسلسل شارع الأعشى 2
مسلسل لوبي الغرام
مسلسل أمور عائلية
مسلسل صبر أم أيوب
مسلسل المتر سمير
مسلسل الخروج الى البئر
مسلسل مطبخ المدينة
مسلسل وديمة وحليمة 5
مسلسل بنات عبد الغني
مسلسل اخر الشهر
مسلسل ترند
مسلسل شاي خانه
مسلسل قلبي اطمأن 9
مسلسل سكنهم مساكنهم
مسلسل غلط بنات
مسلسل حي الجرادية
مسلسل كسرة
مسلسل بابا وماما جيران
مسلسل المداح أسطورة النهاية
مسلسل لحظات مسروقة
مسلسل الباء تحته نقطة 2
مسلسل ملوك اليمن
مسلسل كحيلان
مسلسل أعوام الظلام
مسلسل بيت السعد
مسلسل ام رجا
مسلسل نورية نصيب
مسلسل عين سحرية
مسلسل اثبات نسب
مسلسل ابطال الرمال
مسلسل توابع
مسلسل حد أقصى
مسلسل مناعة
مسلسل غناوي شوق
مسلسل 11%
مسلسل اتنين غيرنا
مسلسل صحاب الأرض
مسلسل كان ياما كان
مسلسل المقعد الأخير
مسلسل بيت الاحلام
مسلسل كلهم بيحبوا مودي
مسلسل المصيدة
مسلسل هي كيميا
مسلسل دارا
مسلسل 33
مسلسل سوا سوا
مسلسل الضربة
مسلسل بنات العم 2
مسلسل بدل تالف
مسلسل تطبق الشروط والأحكام
مسلسل قيصرية
مسلسل دكان سليمان
مسلسل الشوفير