



توفيت امرأة بسبب سوء التغذية الحاد بعد أن حملت جنيناً لم يولد بعد قرابة تسع سنوات داخل جسدها. وزارت المرأة، وهي في الأصل من الكونغو الأطباء في نيويورك وهي تشكو من تقلصات في المعدة وعسر الهضم وصوت غرغرة بعد تناول الطعام. وكشفت الفحوصات أن المرأة البالغة من العمر 50 عاماً لديها جنين متكلس ضغط على أمعائها، والذي يُعزى إلى إجهاض حدث قبل تسع سنوات.
.jpg)
الظاهرة النادرة، التي تم تسجيلها أقل من 300 مرة فقط، تحدث عندما يموت الجنين الذي ينمو خارج الرحم أثناء الحمل ولا يتم إطلاقه من الجسم. وهو من بين العديد من مضاعفات الحمل التي لها آثار طويلة الأمد على صحة الأم. ورفضت المريضة العلاج، قائلة إنها تعتقد أن حالتها الصحية مرتبطة بـ "تعويذة" ألقاها عليها شخص ما في إفريقيا. وتوفيت المرأة بعد 14 شهراً من وصولها إلى الولايات المتحدة. وقال الأطباء إنها ماتت من سوء التغذية الحاد أو الجوع.
.jpg)
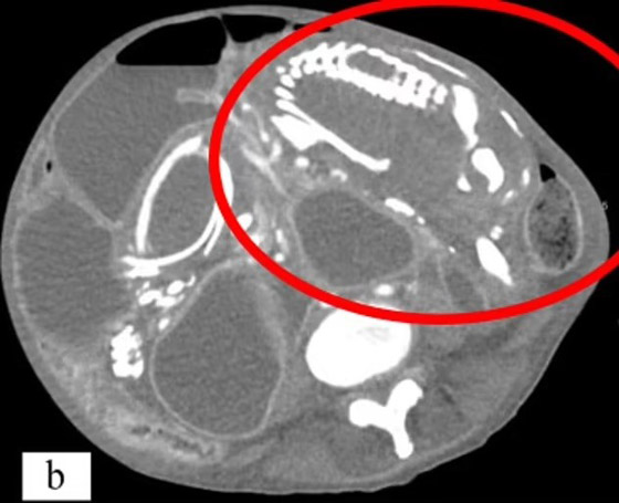
وفي هذه الحالات، قد يكون سبب الوفاة في نهاية المطاف هو تدهور الأنسجة مما يؤدي إلى السكتة القلبية أو عدم انتظام ضربات القلب، وعدم انتظام ضربات القلب. وتشمل الأسباب الأخرى العدوى الناتجة عن ضعف جهاز المناعة. وبالنسبة لهذه المرأة، ظل "الطفل المتحجر" يضغط على الأمعاء. وتسبب هذا في انسداد أمعائها، مما يعني أن جسدها لم يعد قادراً على امتصاص العناصر الغذائية الحيوية. وقال الدكتور وسيم سوس، خبير الطب الباطني في جامعة ولاية نيويورك الطبية التي أبلغت عن الحالة، إن المريضة "رفضت التدخل خوفاً من الجراحة، ولسوء الحظ، توفيت بسبب سوء التغذية الحاد في سياق انسداد الأمعاء المتكرر والخوف المستمر من طلب الرعاية الطبية".
.jpg)
ولم يستطع الأطباء تحديد مكان حدوث الحمل في الجسم، لكنهم خلصوا إلى أنه من المحتمل أن يكون خارج الرحم. وعندما يموت الطفل، يكون حجمه أكبر من أن يمتصه الجسم مرة أخرى. ونتيجة لذلك، يقرر الجهاز المناعي أن الجنين الميت يشكل تهديداً للجسم. ويؤدي هذا إلى ترسب رواسب غنية بالكالسيوم على الجنين، وتغليفه تدريجياً بقشرة متكلسة أو تحويله إلى حجر. وتوقف الجنين - الذي كان من الممكن أن يكون الطفل التاسع للمرأة - عن النمو بداخلها في الأسبوع 28. لكن بدلاً من الإجهاض، عانت من الحالة المعروفة باسم lithopedion. وتحدث الحالة عندما يتكون الحمل في البطن بدلاً من الرحم. وفي هذه الحالة لا تصل كمية كافية من الدم إلى الطفل، مما يؤدي إلى فشل الحمل. ولا يستطيع الجسم طرد الجنين أيضاً، مما يؤدي إلى مضاعفات مميتة.