



هنالك قول مأثور يفيد بأن هنالك أمران في العالم لا أحد يستطيع الاستعداد لهما: وهما التوأم، وذلك راجع بسبب كبير لكون التوائم من أندر الأمور التي يعرفها جنسنا البشري، ذلك أن حوالي 3٪ من حالات الولادة الحية عند البشر تتضمن على أجنة متعددة، ومعظم هذه الأجنة المتعددة تكون إما ثنائية الزيجوت Dizygotic، أو ما يعرف بشكل واسع على أنه "توأم أخوي"، والتي تحدث عندما يطلق مبيضا الأم بويضتين جاهزتين للتلقيح بدلا من بويضة واحدة، واللتان يتم تلقيحهما بنجاح.
نسبة قليلة من التوائم التي تحدث تكون أحادية الزيجوت Monozygotic، أو ما يعرف بشكل واسع باسم "التوأم المتطابق"، وهؤلاء هم التوائم الذين يتشاركون بشكل أساسي معظم حمضهم النووي، ذلك أنهم ينحدرون من بويضة واحدة ملقحة قامت بالانقسام في مرحلة ما إلى بويضتين اثنتين.
6 أنواع من التوائم نادرة للغاية
يكون كل من هذين النوعين من التوائم مفيدا للغاية في الدراسات العلمية، ذلك أنه بإمكانهم مساعدتنا على فهم التأثيرات الجينية والعوامل البيئية على العديد من الصفات المختلفة. لكن على ما يبدو، فإن التوأمة، أو التوائم، أمر وظاهرة أغرب وأكثر تعقيدا من مجرد توأم متطابق أو توأم أخوي، كما أن أنواع التوائم النادرة تقترح أنه أمامنا الكثير لنتعلمه عن التطور البشري. إليكم قائمة بأغرب وأندر ستة أنواع توائم في العالم:
1. توأم الصورة المرآتية:

بشكل أساسي، يصف اسم هذا النوع من التوأم تقريبا كل شيء، فهو نوع من التوأم أحادي الزيجوت، حيث يكون شخصان منفصلان انعكاسا لصورة بعضهما البعض. من الصفات التي يمتاز بها هؤلاء هو أنه إن كان أحدهم أيمنًا سيكون الآخر أعسرًا، كما قد تكون أعضاؤهما الداخلية متعاكسة أيضًا، وذلك ما يطلق عليه الأطباء اسم Situs Inversus أو مقلوبة الموضع. بينما يحدث توأم الصورة المرآتية في حوالي واحد من بين 10000 توأم، تكون إحدى درجات عدم التناظر المعكوس عند التوأم المتطابق شائعا بشكل واسع، ويعتقد بعض العلماء أن ذلك يمنح تلميحًا عن الزمن الدقيق الذي انفصل فيه جنين التوأم وانقسم إلى جنينين. لنشرح الأمر قليلًا: خلال الأسابيع الأولى للتطور الجنيني، تصبح الخلايا التي ستقوم بعدها بإنتاج الأعضاء مبرمجة على الجانب الأيمن أو الأيسر من الجسم، وهي عملية يطلق عليها اسم تناظر يمين-يسار، وخلال هذه النافذة الزمنية، يتم تحديد الأعضاء اليسرى من الأعضاء التي تقع على الجهة اليمنى، لكن الخلايا الجنينية لم تهاجر بعد للمواقع التي ستقوم فيها بإنماء الأعضاء، لذا يعتقد بشكل واسع بأن التوأم المتطابق ذو عدم التناظر المعكوس الكلي لا يحدث إلا عندما ينقسم الجنين بعد أن تحدث هذه العملية، أي في زمن ما بعد أسبوعين من وقوع التلقيح.
لكن هنالك المزيد من الجدل حول هذا الأمر، حيث أن مفهوم "توأم متطابق" ليس صحيحا للغاية، حيث توجد دائما اختلافات جينية بين التوأمين حتى وإن كانت ضئيلة جدا، لذا من المحتمل أن تشرح هذه الاختلافات الجينية عدم التناظر المعكوس Mirroring أفضل عند انقسام الجنين. حتى بكون هذه العملية عملية زمنية بحد ذاتها، فإن الأبحاث لم تفصل بعد عن الزمن الدقيق الذي ينتج فيه عن الانقسام صفات ذات تناظر معكوس مثل انعكاس اليد المهيمنة عند التوأم، وذلك راجع بشكل أساسي لعجزنا عن رؤية الجنين البشري وهو بصدد الانقسام في الرحم. قد تكون تكنولوجيا الموجات فوق الصوتية جيدة، لكنها ليست بتلك الجودة التي تسمح لنا برؤية هذا الأمر وهو يحدث، أضف إلى ذلك أنه حتى لو كان بإمكاننا رؤية عملية تكون التوأم وهي بصدد الحدوث، فإننا سنفوتها على الأرجح عند معظم حالات الحمل، ذلك أنها تحدث في المراحل الأولى للحمل، عندما قد لا تكون حتى المرأة الحامل على دراية بأنها حامل. على الرغم من كل تلك الصعوبات، فإن إدراكنا ومعرفتنا للآليات التي تقف وراء المرآتية Mirroring عند التوأم سيعلمنا الكثير حول تطور أجسامنا، والطريقة التي تحدد بها تموضع أعضائنا في أماكنها الطبيعية.
2- التوائم السيامية، أو المتلاصقة:

ربما كنت على معرفة سابقة بهذا النوع من التوأم: التوأم السيامي أو التوأم المتلاصق، وهو توأم يبقى متصلا على الأقل حتى مرحلة الولادة، وقد تلقى هؤلاء التوائم الكثير من الاهتمام الطبي والثقافي على حد سواء، ومع ذلك ما زلنا نجهل كيف يحدث هذا الالتصاق. كما أن فحص بعض هذه الحالات عن كثب زاد من تعقيد الأمور وقلب ما كنا نعتقد أننا نعرفه عن هؤلاء التوائم. أقدم تفسير لحدوث التوأم السيامي، وهو التفسير الذي مازال قائما إلى يومنا هذا، هو التفسير القائل بأنه نتاج الانقسام الجنيني غير المكتمل، والذي يطلق عليه غالبا باسم "نظرية الانقسام". في الواقع، من المفترض أن جميع التوائم أحادية الزيجوت تحدث وفقا لهذه العملية، لسبب من الأسباب ينقسم الجنين إلى جنينين، وتستمر النظرية بالشرح أنه في حالة ما حدث هذا الانقسام في وقت مبكر جدا يتطور لدى كل من الأخوين التوأم كيسه السلوي الخاص به ومشيمته الخاصة به، وفي حالة ما حدث الانقسام في وقت متأخر نوعًا ما، يتشارك الشقيقان التوأم نفس الكيس السلوي ونفس المشيمة، أما إذا حدث الانقسام في وقت متأخر جدا، كأن يحدث بعد أسبوعين أو أكثر من التطور، يسفر هذا عن التوأم السيامي.
يعتقد أنه لسبب من الأسباب تفشل الانقسامات التي تحدث في ذلك الوقت المتأخر من التطور على الانقسام بشكل كامل، وهو الأمر الذي يبدو مقنعا إلى حد بعيد، كما توجد الكثير من الأسباب التي قد تجعلنا نعتقد أن التوأم السيامي يحدث بسبب توقيت الانقسام الجنيني المتأخر مثل نسب المرآتية Mirroring العالية لدى التوأم السيامي. لكن علينا دائما أن نتذكر أن المرآتية قد لا تكون ظاهرة متعلقة بالتوقيت على الإطلاق، كما أنه هناك الكثير من الباحثين الذين لا يعتقدون بأن التوأم السيامي نتاج الانقسام غير المكتمل لنفس الجنين، والذين تقول تفسيراتهم التي أطلق عليها اسم "نظرية الالتحام" بأن الجنين ينقسم بشكل كامل، وأن هذا الانقسام يحدث في زمن مبكر، ثم بتطور الجنينين ينتهي بهما الأمر متلاحمين جسديا مما يؤدي إلى التصاقهما. قد يفسر هذا سبب التصاق معظم التوائم السيامية من جهة الصدر والذين غالبا ما يتشاركون قلبا واحدًا. في وقت مبكر من تطور الجنين، يكون القلب الأولي واحدا من الأعضاء القليلة في الجسم التي لا يغطيها نوع الخلايا التي ستصبح لاحقا خلايا جلدية، مما يعني أن هذه المنطقة بالذات أكثر عرضة للالتحام بين الجنينين التوأم. قد يساعد تحديد أي هاتين النظريتين صحيح —أو إن كانت كلتاهما صحيحة— العلماء والباحثين على فهم أفضل للطريقة والزمن الذي تصبح فيه الخلايا مبرمجة على أنسجة مختلفة، وكذا السبب الذي يجعل التوائم يحدثون في المقام الأول.
3- التوأم المغاير الخارجي:

حوالي 10 في المائة من التوائم السيامية يعتبرون توائم مغايرة خارجية. بشكل أساسي، لا يتطور لدى أحد الشقيقين التوأم جميع أعضاء الجسم، لذا يعتمد على الثاني للاستمرار والبقاء. قد يبدو هذا النوع من التوأم المتناظر غير مكتمل النمو أقرب لطفرة منه إلى توأم متصل. من بين حالات هذا النوع من التوائم كلب ولد مع ذيل بارز من رأسه، الذي هو في الواقع توأم مغاير خارجي غير مكتمل النمو. تماما مثل التوائم السيامية الأخرى، لطالما افترض العلماء والباحثون أن هذا النوع من التوائم يحدث عندما ينقسم الجنين في وقت متأخر ولا ينقسم بشكل مثالي، ولسبب من الأسباب يكون الانقسام أيضًا غير متكافئ ولا متكامل، لذا لا يتطور أحد التوأم بشكل كافي للبقاء والاستمرار اعتمادا على نفسه، أو يكون في المجمل عبارة عن جزء من شخص آخر متصل بشقيقه التوأم. قد يفسر هذا النوع الملتوي من الانقسام سبب بروز ذيل من رأس الكلب الذي ذكرناه سابقًا.
لكن بعض حالات وقوع هذا النوع من التوائم عند البشر قد تدعم نظرية الالتحام أكثر، والمشكلة الأكبر هي أنه لم يسبق لأحد أن رأى الانقسام وهو يحدث، حيث لم نشهد على الإطلاق انقسام جنين إلى جنينين اثنين، مما يعني أننا لم يسبق لنا أن أكدنا فكرة أن توقيت انقسام الجنين قد يكون له أي تأثير، كما أننا لا نعلم بشكل مؤكد بأن الجنين قد ينقسم بشكل جزئي أو غير متكافئ ومع ذلك ينجح في البقاء على قيد الحياة. لكننا اقتربنا بشكل أكبر من ذلك بكثير للحصول على دليل على وقوع الالتحام بين الأجنة داخل الرحم، وذلك بفضل حالة توأم مغاير خارجي تم نشرها سنة 1997. ولد هذا الطفل الذي تناولته الدراسة بما يبدو وكأنه زوج من السيقان بارز من صدره، لكن تلك الساقان لم تكن له، حيث اكتشفت الاختبارات والفحوص الجينية بأن الساقان تعودان لتوأمه الأخوي، والذي إن كان صحيحا قد يعني أن جنينين منفصلين تلاحما في مرحلة ما داخل الرحم. بالطبع كانت تلك حالة واحدة فقط، لكنها تقترح أن الأبحاث على هذا النوع من التوائم قد تساعد على تسوية الجدل حول الانقسام/ الالتحام، أو أن يثبت أن كلا من النظريتين صالح وكلا الظاهرتان قابل للحدوث. في جميع الحالات، سيمنح الباحثين فهما أفضل حول سلوكات الخلايا البشرية أثناء تطورها، وهو ما قد يساعد بدوره الأطباء على علاج حالات مرضية حيث لا يجري التطور وفقا ما هو مخطط له.
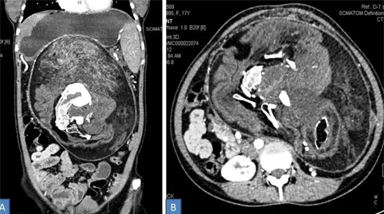
4- جنين داخل جنين:

أحيانًا يستطيع توأم مغاير خارجي التواجد بشكل كامل داخل توأمه الذي يكون سليمًا، وهو ما يعرف باسم "الجنين داخل الجنين" أو Fetus in Fetu. هي ظاهرة نادرة للغاية، حيث لم يتم توثيق أكثر من 200 حالة عبر التاريخ، وعادة ما يكون هنالك جنين واحد داخل الجنين، لكن في إحدى الحالات وجد الأطباء 11 جنينًا داخل جنين. إنها ظاهرة طاف حولها جدل كبير بين الباحثين والعلماء حول الطريقة التي تحدث بها، كما أن بعضهم لا يتفق حتى على أن "الجنين" الداخلي يعتبر توأمًا أساسًا، حيث يعتقد هؤلاء أن ظاهرة "الجنين داخل الجنين" ما هي إلا حالة ورم مسخي متطور، الذي هو عبارة عن ورم يتكون من عدة أنواع من أنسجة الجسم. كما يوجد فريق آخر من الباحثين الذين يعتقدون بأن الظاهرة تحدث بسبب وقوع خلل أثناء تطور الجنين، حيث تنقسم بعض الخلايا الجذعية التي من المفترض أن تتطور لتصبح أعضاءً أخرى بشكل غريب. لكن آخرين يقولون بأنه توأم حقيقي، ذلك أن الجنين داخل الجنين يملك عمودا فقريًا، وغالبا ما تتطور لديه أعضاء مثل أطراف الجسم.
بالطبع قد يكون أي من الآراء والنظريات السابقة صحيحًا، حيث قد تكون هنالك الكثير من الطرائق المختلفة التي تنتهي بجنين متطور بشكل جزئي داخل جنين آخر متطور بشكل كامل. قد يعني هذا أن دراسة هذا النوع من التوائم قد يساعد الأطباء على فهم كيف أن بعض الأورام الجنينية تصبح مصدر إشكال بينما تبقى أورام أخرى حميدة، كما قد تساعدنا على فهم بعض الأمور المثيرة حول البرمجة التطورية للخلايا. قد يكون حدوث ظاهرة الجنين داخل جنين راجعًا لكون أحد الجنينين يحتوي الآخر في مرحلة ما من تطورهما، أي أن الظاهرة أقرب إلى فكرة الالتحام لكنها أكثر تطرفًا. وهو ما لا يعتبر بعيد المنال مثلما قد يبدو عليه، لأنه توجد حالات موثقة لأجنة توأم يمتص أحدها جزءا من الآخر أو يمتصه ويحتويه بشكل كامل.
5. التوائم الخيمرية:

قد تكون سمعت بفكرة أن تكون توأم نفسك دون أن تعرف ذلك، وذلك بناء على ظاهرة تعرف باسم "متلازمة التوأم المتلاشي"، حيث في وقت مبكر جدا من الحمل المتعدد، يختفي أحد الشقيقين التوأم، لكن ليس بشكل كامل. يعتقد الأطباء الآن أن متلازمة التوأم المتلاشي تحدث لأنه في حالة وفاة أحد التوأم بشكل عفوي، فإنه يتم امتصاصه بشكل عام من طرف التوأم الآخر، ومن خلال "امتصاص" نحن لا نعني أن أنسجته يتم هدمها أو هضمها أو ما شابه، بل كل ما في الأمر أن جميع خلاياه الحية تندمج مع جسم التوأم الحي، لذا لا يولد إلا رضيع واحد، والذي يكون له جينوم شخصين اثنين في جسمه، مما يجعل منه ما يطلق عليه علماء الأحياء اسم "الخيمرية". وعلى ما يبدو، لا يحدث هذا النوع من اندماج الخلايا عند موت أحد التوأم فقط، بل إنه ما يؤدي كذلك إلى حدوث ظاهرة التوأم الخيمري أيضًا، وهو توأم ثنائي الزيجوت حيث يكون لأحدهما أو كليهما خلايا تحتوي على جينوم الآخر. قد يحدث تبادل الخلايا الجنينية عند التوأم أحادي الزيجوت أيضًا، لكن بما أن لكليهما نفس الجينوم، فإنه أمر لا يمكن ملاحظته. وعندما يتعلق الأمر بالتوأم ثنائي الزيجوت، تبرز خلايا التوأم الآخر وتظهر بشكل واضح.
وقد عثر الباحثون على حالات واضحة من هذه الظاهرة وقاموا بتوثيقها، مثل حالات يكون فيها لكل من الشقيقين التوأم زمرتان مختلفتان لخلايا الدم، فتكون بعض خلايا دمه الحمراء من زمرة 0 وبعضها الآخر من زمرة A، والمثير في الأمر هو أن هذا النوع من الخيمرية على مستوى الدم يحدث عند حوالي 8 في المائة من التوائم ثنائية الزيجوت وعند 21 في المائة من التوائم الثلاثية. وفي إحدى الحالات الغريبة، أنجب رجل ولدًا يحمل الحمض النووي لشقيقه التوأم غير المولود. بدون شك، لدينا الكثير لنتعلمه من هذه التوائم متعددة الجينومات، حيث لم يفهم الأطباء بعد كيف تنتقل الخلايا من توأم لآخر، ولماذا تفعل ذلك، وما الذي يعنيه الأمر لأي منهما. كما يبقى غير واضح كيف تتعامل أجهزة التوأم المناعية مع امتلاك خلايا بجينومات مختلفة، وإن فهم هذا الأمر بالذات قد يساعدنا على فهم الكثير حول أجهزتنا المناعية بصفة عامة. كما أنه على مستوى عملي أكثر، سيساعدنا البحث والتدقيق في التوائم الخيمرية على توقع مشكلات التطابق التي قد تطرأ عند نقل الدم أو زرع الأعضاء ومعالجتها.
الآن وصلنا لأندر نوع من التوائم:
6. التوأم النصفي (نصفي الزيجوت):

لم يتم توثيق سوى حالتين اثنتين من هذا النوع من التوائم، وهي ظاهرة يتشارك التوأم فيها بين 50 إلى 100 في المائة من حمضهما النووي، لذا فهؤلاء أكثر تشابها من الناحية الجينية من التوأم ثنائي الزيجوت، لكنهم ليسوا أكثر تشابها من التوأم أحادي الزيجوت، ولا أحد يعلم بحق كيفية حدوث ظاهرة التوأم النصفي، لكنّ لعلماء الأحياء بعض الأفكار حول الموضوع. واحدة من بين هذه الأفكار هي أن بويضة واحدة تتخصب من طرف حيوانات منوية مصدرها شخصان مختلفان، فإذا انقسمت بويضة مثل هذه وانتهى الأمر بكل جنين بجينوم فريد مكتمل، قد ينتج عن هذا ما يشير إليه العلماء توأم نصف متطابق، وما يبقى غير واضح هو كيف تقوم بويضة ثنائية التلقيح بهذا الأمر، لأن التلقيح الثنائي ينتج عنه بصفة عامة جنين واحد مع زوج إضافي من الكروموزومات، وهي حالة قاتلة.
لذا تفيد فرضية أخرى حول نشوء ظاهرة التوأم النصفي بأنها نتاج تخصيب ما يعرف بـ"الجسم القطبي"، الذي هو خلية صغيرة غير ناضجة أحادية الصبغيات التي تتشكل بالتزامن مع خلية البويضة أثناء التكون، والتي ينتهي بها المطاف غالبا بالموت أو التحلل بمجرد نضوج البويضة، لكن لو حدث وتم تخصيب الجسم القطبي في نفس الوقت الذي يحدث فيه تخصيب البويضة المتعلقة بها، وانتهى الأمر بكليهما بالتطور والنضوج، قد ينتج فرضيًا عن ذلك ما يسمى بصفة عامة توأم نصف متطابق. يبقى غير واضح كيف للجسم القطبي أن يصبح مخصبًا، ناهيك عن الطريقة التي يتحول فيها إلى جنين، كما أن معظم البويضات الناضجة تفشل في ذلك. لذا قد يساعدنا فهم آلية أو آليات حدوث ظاهرة التوأم النصفي على فهم أفضل لما هو متطلب وما هو ليس كذلك فيما يتعلق بالتخصيب والتطور الجنيني، وهو الأمر الذي قد يشير إلى طرائق جديدة لمساعدة الأشخاص الذين يرغبون في الحمل وعجزوا عن ذلك.