Farfesh.com
spacer
spacer
spacer
the voice 6
spacer
مسلسلات رمضان 2026
spacer
spacer
spacer

الملياردير إيلون ماسك يعلن عن نجاح زرع شريحة دماغية بأول إنسان

موقع فرفش
11:00  30/01/2024
Share  

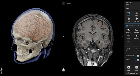
قال الملياردير الأمريكي ومالك منصة "إكس" إيلون ماسك مؤسس شركة نيورالينك إن أول مريض من البشر خضع لزراعة شريحة دماغية من التي تنتجها الشركة الناشئة يوم الأحد وإنه يتعافى بشكل جيد. وأضاف في منشور على منصة التواصل الاجتماعي (إكس) الاثنين "تظهر النتائج الأولية رصد زيادة الخلايا العصبية على نحو واعد".

الملياردير إيلون ماسك يعلن عن نجاح زرع شريحة دماغية بأول إنسان صورة رقم 1

الملياردير إيلون ماسك يعلن عن نجاح زرع شريحة دماغية بأول إنسان صورة رقم 2

الملياردير إيلون ماسك يعلن عن نجاح زرع شريحة دماغية بأول إنسان صورة رقم 3

ويصف المعهد الوطني للصحة الخلايا العصبية بأنها خلايا تستخدم الإشارات الكهربائية والكيميائية لإرسال المعلومات عبر الدماغ وإلى الجسم. وكانت إدارة الأغذية والعقاقير الأميركية قد منحت الشركة العام الماضي تصريحا لإجراء أول تجربة لها لاختبار زرع الشريحة في دماغ إنسان.

الملياردير إيلون ماسك يعلن عن نجاح زرع شريحة دماغية بأول إنسان صورة رقم 4

وقال ماسك في منشور منفصل على (إكس) إن شريحة نيورالينك سيُطلق عليه اسم "تيليباثي" Telepathy. وأضاف ماسك أن الشريحة "تمكنك من التحكم في هاتفك أو جهاز الكمبيوتر الخاص بك، ومن خلالهما أي جهاز تقريبًا، بمجرد التفكير.. سيكون المستخدمون الأوائل هم أولئك الذين فقدوا القدرة على استخدام أطرافهم.. تخيل لو كان ستيفن هوكينغ قادرا على التواصل بشكل أسرع من الكاتب السريع أو البائع بالمزاد. هذا هو الهدف".

الملياردير إيلون ماسك يعلن عن نجاح زرع شريحة دماغية بأول إنسان صورة رقم 5

وأفادت نيورالينك على موقعها الإلكتروني بأن الشريحة تمكن الأشخاص المصابين بالشلل الرباعي من التحكم في الأجهزة بتفكيرهم. وكانت إدارة الأغذية والعقاقير الأميركية قد منحت الشركة العام الماضي تصريحا لإجراء أول تجربة لها لاختبار زرع الشريحة في دماغ إنسان.

الملياردير إيلون ماسك يعلن عن نجاح زرع شريحة دماغية بأول إنسان صورة رقم 6

واجهت نيورالينك دعوات للتدقيق فيما يتعلق ببروتوكولات السلامة الخاصة بها. وذكر هذا الشهر أن السلطات المعنية غرمت الشركة لانتهاكها قواعد وزارة النقل الأميركية فيما يتعلق بنقل المواد الخطرة. وقُدرت قيمة الشركة بنحو خمسة مليارات دولار في يونيو/حزيران الماضي. وكان أربعة مشرعين طلبوا في أواخر نوفمبر/تشرين الثاني من لجنة الأوراق المالية والبورصة الأميركية التحقيق فيما إذا كان ماسك قد ضلل المستثمرين بشأن سلامة تقنيتها بعد أن أظهرت السجلات البيطرية مشكلات في عمليات زرع الشريحة في أدمغة القرود منها الشلل وتورم الدماغ.

الملياردير إيلون ماسك يعلن عن نجاح زرع شريحة دماغية بأول إنسان صورة رقم 7

الملياردير إيلون ماسك يعلن عن نجاح زرع شريحة دماغية بأول إنسان صورة رقم 8

الملياردير إيلون ماسك يعلن عن نجاح زرع شريحة دماغية بأول إنسان صورة رقم 9

الملياردير إيلون ماسك يعلن عن نجاح زرع شريحة دماغية بأول إنسان صورة رقم 10

الملياردير إيلون ماسك يعلن عن نجاح زرع شريحة دماغية بأول إنسان صورة رقم 11

الملياردير إيلون ماسك يعلن عن نجاح زرع شريحة دماغية بأول إنسان صورة رقم 12

الملياردير إيلون ماسك يعلن عن نجاح زرع شريحة دماغية بأول إنسان صورة رقم 13

الموقع العربي الاول
مسلسلات رمضان 2026
مسلسل مولانا
مسلسل بخمس ارواح
مسلسل لحظات مسروقة
مسلسل فرصة أخيرة
مسلسل روج اسود
مسلسل على قد الحب
مسلسل غلط بنات
مسلسل البخت 
مسلسل ما اختلفنا 3
مسلسل الباء تحته نقطة 2
مسلسل حي الجرادية
مسلسل قطر زغنطوط
مسلسل وجب القضاء
مسلسل درب الذهب
مسلسل دراما كوين
مسلسل شمس الأصيل
مسلسل اليتيم
مسلسل كسرة
مسلسل ن النسوة
مسلسل بابا وماما جيران
مسلسل شارع الأعشى 2
مسلسل درش
مسلسل الغميضة
مسلسل وننسى اللي كان
مسلسل افراج
مسلسل المداح أسطورة النهاية
مسلسل الكينج
مسلسل بالحرام
مسلسل علي كلاي
مسلسل الهيبة رأس الجبل
مسلسل أمور عائلية
مسلسل سموم القيظ
مسلسل أنا وهي وهيا
مسلسل رحمة 2
مسلسل اسأل روحك
مسلسل عايلة مايله
مسلسل ثعالب الصحراء
مسلسل حمدية
مسلسل ملوك اليمن
مسلسل كحيلان
مسلسل عمارة السعادة
مسلسل عيلة الملك
مسلسل صبر أم أيوب
مسلسل كوميدي تانا
مسلسل لوبي الغرام
مسلسل انا ولا انا
مسلسل النص التاني
مسلسل عرض وطلب
مسلسل اب ولكن
مسلسل اللون الأزرق
مسلسل رأس الأفعى
مسلسل حكاية نرجس
مسلسل رامز ليفل الوحش
مسلسل شرارة
مسلسل اخر كلام
مسلسل بنات عبد الغني
مسلسل ترند
مسلسل شاي خانه
مسلسل سعادة المجنون
مسلسل الخروج الى البئر
مسلسل بنت النعمان
مسلسل السوق الحرة
مسلسل وديمة وحليمة 5
مسلسل حصة أخيرة
مسلسل يوميات رجل متزوج 2
مسلسل حامض حلو 7
مسلسل بيبو
مسلسل فخر الدلتا
مسلسل فن الحرب
مسلسل النويلاتي
مسلسل قبل وبعد
مسلسل المتر سمير
مسلسل مطبخ المدينة
مسلسل قلبي اطمأن
مسلسل سكنهم مساكنهم
مسلسل  أولاد الراعي
مسلسل قلبي اطمأن 9
مسلسل اخر الشهر
مسلسل أعوام الظلام
مسلسل بيت السعد
مسلسل ام رجا
مسلسل نورية نصيب
مسلسل الست موناليزا
مسلسل عين سحرية
مسلسل اثبات نسب
مسلسل ابطال الرمال
مسلسل توابع
مسلسل حد أقصى
مسلسل مناعة
مسلسل غناوي شوق
مسلسل 11%
مسلسل اتنين غيرنا
مسلسل صحاب الأرض
مسلسل كان ياما كان
مسلسل المقعد الأخير
مسلسل بيت الاحلام
مسلسل كلهم بيحبوا مودي
مسلسل المصيدة
مسلسل هي كيميا
مسلسل دارا
مسلسل 33
مسلسل سوا سوا
مسلسل الضربة
مسلسل بنات العم 2
مسلسل بدل تالف
مسلسل تطبق الشروط والأحكام
مسلسل قيصرية
مسلسل دكان سليمان
مسلسل الشوفير
مسلسل وحوش 2
مسلسل ليل
مسلسل The Voice
مسلسل توب شيف
Top Chef
مسلسل مش مهم الاسم
مسلسل سلمى