



عولجت فتاة تبلغ من العمر 12 عامًا، من حالة نادرة جعلتها تكافح من أجل ارتداء الأحذية أو حتى المشي. ولدت الطفلة التي لم يُذكر اسمها وهي تعاني من الحثل الشحمي الكبير (MDL)، والمعروف أيضًا باسم العملقة، مما أدى إلى تضخم إصبع القدم الأول والثاني في قدمها اليمنى. وتتسبب الحالة غير الوراثية في التوسع التدريجي للأنسجة الدهنية الليفية، مما يجعلها تصل إلى أحجام غير طبيعية.
وبحسب صحيفة بريطانية، تم تشخيص إصابة الفتاة بمرض MDL عند الولادة، لكنها لم تحضر زيارة متابعة للأطباء منذ ذلك الحين. ونقل والدا الفتاة، اللذين يعيشان في العاصمة الماليزية كوالالمبور، الفتاة إلى المستشفى بعد أن تفاقم تشوه قدمها مع مرور الوقت. جعلت حالة المريضة الشابة -وهي الثالثة من بين أربعة أطفال- من الصعب عليها ارتداء الأحذية، وتعاني من صعوبات في المشي.

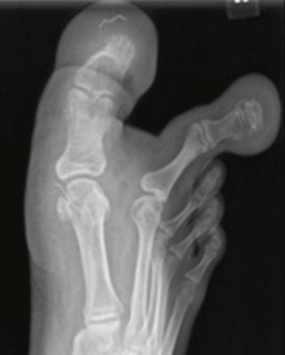
ومن جانبه، قال فريقها الطبي: "كشفت الصور الشعاعية البسيطة ونتائج التصوير بالرنين المغناطيسي عن تراكم الأنسجة الدهنية حول إصبع القدم الأول والثاني، والجوانب الوسطى والجانبية لمشط القدم الأول، وتمتد حتى القوس الأخمصي الأوسط للقدم". وأضاف إن MDL هو نوع غير شائع جدًا من العملقة الخلقية الموضعية، وغالبًا ما يتم إجراء الاستشارة الجراحية لأسباب تجميلية لتعزيز وظيفة القدم والتخفيف من أي مشاكل تتعلق بارتداء الأحذية.
وأجرى الفريق الطبي عملية إعادة بناء ناجحة، ونتيجة للتدخل الجراحي تستطيع الطفلة المريضة الآن ارتداء الأحذية والمشي دون أي صعوبات. وأشارت الصحيفة البريطانية إلى أنه ليس لدى عائلتها تاريخ سابق لمرض MDL أو أي حالات خلقية أخرى. وفي عام 2021، نشرت صحيفة بريطانية حالة طفلة هندية تبلغ من العمر ثمانية أشهر، ولدت بنفس الاضطراب.

وعادة ما يحدث الحثل الشحمي الكبير بشكل عشوائي وليس في العائلات، ويمكن أن يتم تشخيصه بشكل خاطئ على أنه ورم ليفي عصبي، وهي أورام حميدة نادرة وبطيئة النمو في العصب المحيطي. كما يخلط العديد من الأطباء أيضًا بين حالة الورم العصبي الليفي من النوع 1، وهو مرض وراثي يتميز بنمو أورام حميدة على طول أعصاب الجلد والدماغ.